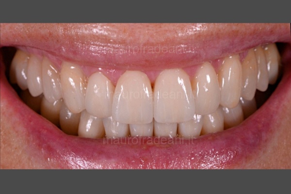
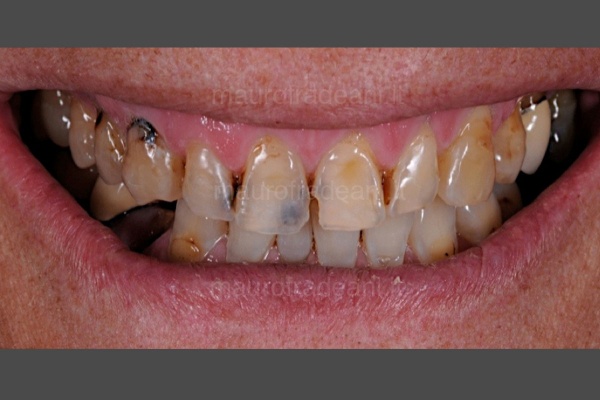
Dr. Mauro Fradeani’s Dental Clinic offers excellent service to all patients; Dr. Fradeani, whose expertise is renowned worldwide, is constantly supported by a highly qualified team of experts covering all branches of dentistry.


Contact Dr. Fradeani’s Clinic
Focus on
In this section you will find further useful knowledge and details on various topics of dentistry.

Digital impression
It is possible to take digital dental impressions by using an intra-oral scanner, a tool recording an optic impression of the teeth and all supporting structures (eg gingiva) and scanning every morphologic detail.

Conscious sedation
For some people, the fear of the dentist (which in most cases is connected to negative experiences and memories) can become a real phobia leading the patient to give up all treatments and neglect his/her oral health.