Avere cura del sorriso dei propri pazienti significa non solo garantire il massimo della professionalità per il raggiungimento di standard elevati, ma anche offrire una vasta gamma di trattamenti grazie alla specializzazione dei singoli membri del team.
A seguito della visita specialistica e di eventuali approfondimenti diagnostici, il paziente riceve un Piano di Trattamento personalizzato, elaborato per rispondere accuratamente alle sue problematiche cliniche ed esigenze personali.

I pazienti vengo istruiti dall’igienista sulle manovre idonee ad assicurare una corretta igiene dentale domiciliare, che deve essere periodicamente integrata con una seduta di igiene orale professionale in studio, sulla base di una frequenza personalizzata e stabilita tenendo conto delle specifiche esigenze di ciascun paziente. La fluoroprofilassi rappresenta un valido alleato dell’igiene orale nella prevenzione della carie: il fluoro applicato sui denti protegge lo smalto dentale dall’attacco degli acidi della placca batterica, principale responsabile di infiammazioni e carie.
Si riferisce principalmente all’educazione e sensibilizzazione all’igiene orale dei piccoli pazienti, alla sigillatura preventiva dei solchi o alla cura dei denti, decidui o permanenti, attaccati dalla carie.
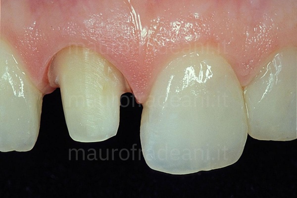
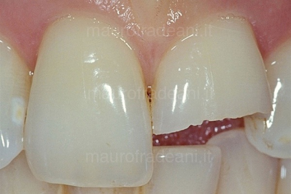
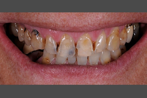
I principali trattamenti quali otturazioni e ricostruzioni, volti a preservare il più possibile la sostanza dentale ripristinando l’integrità dei denti, si effettuano con materiali ad alta valenza estetica: resine composite o ceramica che garantiscono un risultato eccellente e stabile nel tempo.
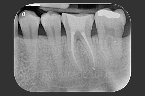
In tutti questi casi il trattamento endodontico (detto anche terapia canalare o devitalizzazione) è volto a salvare il dente ed evitarne l’estrazione.
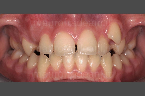
Oltre all’ortodonzia fissa con i classici “brackets”, negli ultimi anni si ricorre sempre più frequentemente all’ausilio di mascherine trasparenti, altrettanto efficaci ma esteticamente meno invasive.
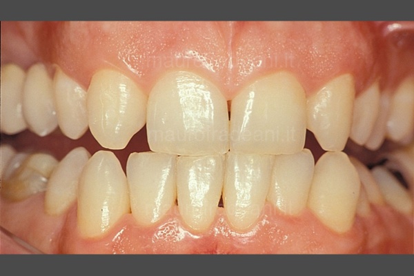
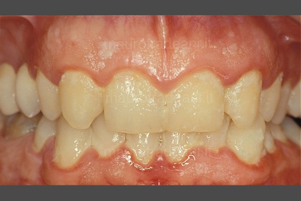
L’impiego di tecniche di previsualizzazione del risultato finale quali il mock-up, oltre a facilitare al paziente la comprensione del piano di terapie proposto, gli permette addirittura di testare per qualche ora o per qualche giorno il nuovo sorriso. Preparazioni dentali minimali permettono la massima preservazione di struttura dentale e, in gran parte dei casi, evitano il ricorso alla somministrazione di anestesia.
Le corone dentali in ceramica si possono realizzare sia su denti naturali sia su impianti osteointegrati, qualora la compromissione irrimediabile del dente ne abbia resa necessaria l’estrazione.
Richiedono una preparazione dentale talmente minimale da non dover ricorrere, nella maggioranza dei casi trattati, alla somministrazione dell’anestesia.
Solo dopo un’attenta valutazione della natura e tipologia delle discromie l’odontoiatra o l’igienista potranno suggerire il trattamento più indicato e risolutivo.
Si tratta spesso di interventi preliminari al posizionamento degli impianti dentali, vere e proprie radici artificiali che permettono la sostituzione di denti mancanti (implantologia).

Grazie all’intervento di uno specialista in anestesia e rianimazione quindi anche i pazienti più difficili possono affrontare le cure senza difficoltà ed in totale serenità.

Questo permette di ottimizzare i tempi di lavorazione e ridurre il numero delle sedute risparmiando al paziente appuntamenti aggiuntivi oltre a quelli strettamente indispensabili.

A parità di efficacia ed esattezza del risultato, il ricorso a questa nuova metodica elimina qualsiasi potenziale disagio per il paziente connesso all’impiego di materiali e supporti per la registrazione dell’impronta tipici della metodica tradizionale.

Contatta lo Studio Fradeani